位置:  主页 > 行业咨询 > 检测咨询 >
咨询:0769-28681849

欧盟多次提高茶叶农药残留检测指标_资讯中心_

事件背景

据深圳市罗湖区茶行业协会秘书长张明强介绍,近年来,欧盟、日本等纷纷以食品安全为由,多次提高茶叶的农药残留检测指标。据悉,欧盟是目前世界上农残最高限量标准(MRL)最严格的地区之一。相关资料显示,2008年7月,欧盟实施了新的食品农药残留标准,提高5种农药MRL标准,并且新增170种与茶叶生产关系密切的农药残留最高限量标准。2009年5月起,日本《食品卫生法》将设限茶叶农药残留由83种增加到144种,并将设限以外的农药残留全部限量为0.01ppm。上述新规定都对解决茶叶原材料农药残留、重金属超标等问题提出了更严格的要求,严格的检验和高昂的监测费用致使茶叶出口成本上升。(资料来源:深圳商报)

茶叶农药残留检测标准

 

茶叶农药残留检测流程

 

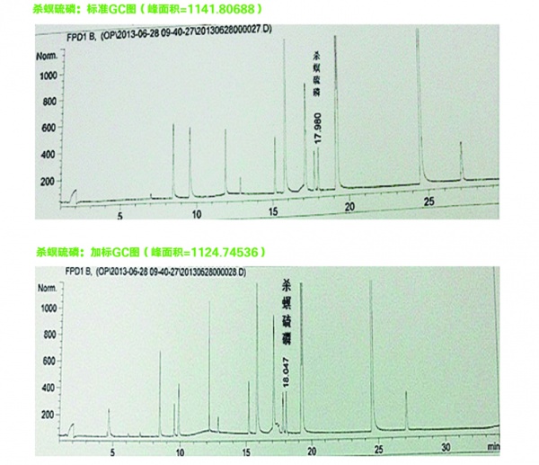
以杀螟硫磷为例,标准GC和加标GC图

结论

应用屹尧科技EXTRA全自动固相萃取仪进行茶叶中农药残留检测,以杀螟硫磷为例,根据杀螟硫磷的标准GC图和标准添加GC图得出,杀螟硫磷的回收率为98.51%。实验结果表明,使用EXTRA全自动固相萃取仪进行茶叶中的农药残留检测,人员操作方便,数据准确可靠。